جراحة ميكروسكوبية بمستشفى الدكتور سليمان الحبيب بالخبر تُنهي معاناة عشرينية مع تشوه خلقي باليدين
أنهت جراحة عظام متقدمة بمستشفى الدكتور سليمان الحبيب بالخبر، معاناة مراجعة تبلغ من العمر 24 عاماً، مع الحرج الإجتماعي، نتيجة وجود تشوه خلقي منذ الولادة أدى لإختلاف في أطوال الاصابع والإنحراف الشديد فيها، ورغم المحاولات المتكررة للعلاج في أكثر من مستشفى ومركز طبي، لم تتمكن المراجعة من إيجاد حل لمشكلتها. وظلت في رحلة بحث للعلاج لــ 10 سنوات متواصلة. ذكر ذلك الدكتور عبدالرحمن الرفاعي استشاري طب وجراحة العظام والتشوهات والحوادث وجراحات مفصل الورك المتقدمة، رئيس الفريق الطبي المعالج .
وقال د. الرفاعي أن المراجعة وصلت المستشفى في حالة نفسية معقدة، وبعد الإستماع إلى شكواها والإطلاع على ملفها الطبي، تم إخضاعها لمجموعة من الفحوصات الطبية والتي شملت، الأشعة المقطعية (C.T Scan) والسينية الرقمية (Digital X-Rays) والتحاليل المخبرية.
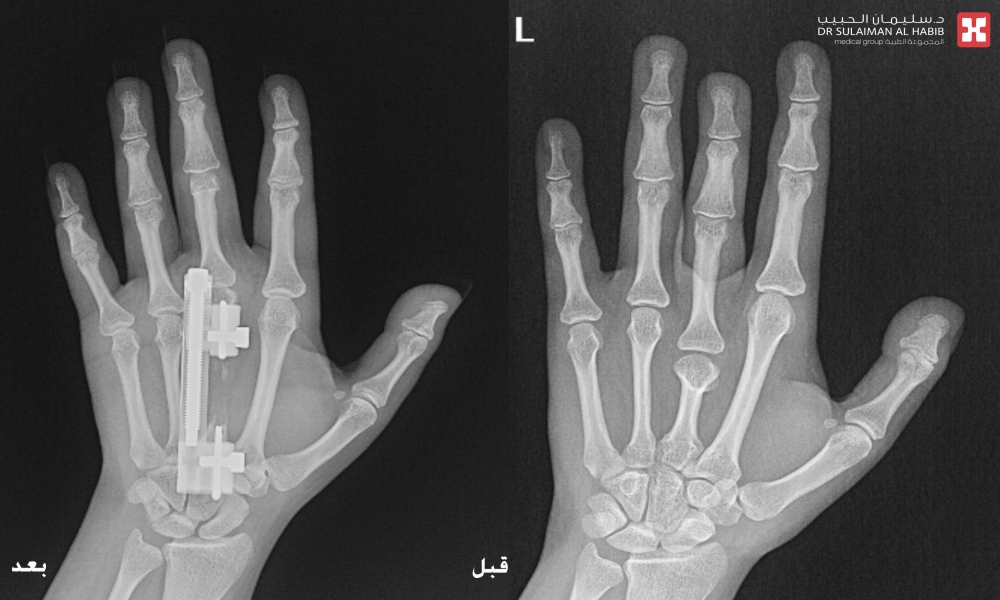
مشيراً إلى أن نتائج الفحوصات أوضحت وجود تشوه خلقي باليدين مع قصر بالإصبع الأوسط بأكثر من ٤ سم، بالإضافة إلى وجود ميلان وإنحسار بالحركه، وهو الأمر الذي أثر على الوظيفة الطبيعية لليد وبشكل كبير، فضلاً عن التأثير النفسي بسبب التشوه الظاهر. موضحاً أن الفريق الطبي المعالج قام بدراسة كافة النتائج، واضعاً خطة يتم فيها تطويل الإصابع.
وأوضح الدكتور الرفاعي أن العملية استغرقت ساعتين ونصف، وتم فيها استخدام تقنية التطويل والتعديل التدرجي بإستخدام جهاز Super Mini LRS ، والذي يتميز بسهولة الإستخدام، وصغر الحجم كي لا يتسبب في الإزعاج خاصة فترة الليل أو عند الحركة، نقلت بعدها المراجعة إلى جناح التنويم، للمتابعة الحثيثة، وعلى إثر تحسن حالتها خرجت من المستشفى بعد يومين وهي بصحة جيدة، مع وضع برنامج دوري لزيارة العيادة ومتابعة نتائج التطويل.
وأكد د. الرفاعي أن اليد أصبحت طبيعية تماماً من الناحية الوظيفية والشكلية ولله الحمد، مشيداً بتوفر الأجهزة والتقنيات المتقدمة لعلاج حالات التشوه العظمي، موضحاً أن حالة المراجعة، تُعد من الحالات النادره والمعقده، وذلك لوجود شبكات من الأوعية الدموية والأعصاب والأوتار المحيطة بمنطقة اليد، والتي تتطلب خبره عاليه ودقه بإجراء هذه الجراحات.
السعودية الاخبارية ، موقع إخباري شامل يهتم بتقديم خدمة صحفية متميزة للقارئ، وهدفنا أن نصل لقرائنا الأعزاء بالخبر الأدق والأسرع والحصري بما يليق بقواعد وقيم الأسرة السعودية، لذلك نقدم لكم مجموعة كبيرة من الأخبار المتنوعة داخل الأقسام التالية، الأخبار العالمية و المحلية، الاقتصاد، تكنولوجيا ، فن، أخبار الرياضة، منوعات و سياحة.




